
Tahun baru 2026 ini seharusnya saya sudah bisa lari lagi. Karena setelah sekian lama, akhirnya saya punya lutut kanan baru...
***
Pada Jumat, 12 Desember lalu, sebelum menjalani operasi ganti lutut/TKR (total knee replacement), saya hanya minta satu hal pada Theri Effendy, dokter yang akan melakukan prosedurnya. Saya minta tolong dua baut yang ada di dalam lutut kanan saya diselamatkan. Ingin saya simpan.
Dua baut titanium itu sudah menjadi bagian dari lutut saya selama 20 tahun. Sejak mengalami cedera sepak bola cukup parah di penghujung 2005.


Saya ingat betul sakitnya waktu itu.
Dulu, seminggu dua kali, saya aktif main bola dengan teman-teman di kantor. Kebetulan, banyak yang mantan pemain bola beneran. Antara itu Persebaya atau Mitra Surabaya. Saya biasanya jadi penyerang tengah.
Pagi itu, karena diserang, saya mundur ke sisi kiri. Menerima bola, saya bersiap "tektokan" dengan mendiang Eko Prajogo, mantan pemain Mitra yang jadi pengatur serangan. Saya lari dari sayap kiri, umpan ke kanan, lalu menerima bola terobosan lagi dari dia untuk menusuk pertahanan lawan.
Saat mengumpan "sendok" ke kanan itu (sambil masih berlari), tiba-tiba saya mendengar bunyi "traaakkk!". Kaki kanan saya terasa seperti lepas. Rasanya kesemutan dari pangkal paha sampai ujung kaki.
Saya harus dipapah keluar lapangan. Seharian itu saya tidak bisa jalan. Sorenya sempat diurut, tapi tak pernah terbayang kalau cederanya parah. Toh besoknya sudah bisa jalan, jadi ya saya merasa normal-normal saja.

Sebulan berjalan, saya sering jatuh. Main pingpong, ketika backhand jatuh. Naik tangga, jatuh. Jalan tidak pas, jatuh. Kaki kanan saya goyang terus.
Akhirnya MRI. Hasilnya: Anterior cruciate ligament (ACL) kanan putus total, meniscus sobek, dan ada bone contusion. Langsung operasi, tapi masih metode jadul. Dengan metode open patella, dengan menggunakan dua baut.
Waktu itu, dokternya pun bilang, bahwa lutut saya akan bermasalah ketika saya berusia 50 tahun nanti. Plus, saya tidak bisa olahraga aneh-aneh lagi. Sepak bola sudah tidak bisa. Pernah mencoba, lutut "muntir", langsung kapok. Lari juga tidak berani keras (lutut bengkak). Bahkan kalau jalan kaki kebanyakan pun bisa bengkak.
Gara-gara inilah saya jadi pesepeda. Lanjut jadi cyclist serius. Olahraga non-impact inilah yang menyelamatkan kebahagiaan olahraga saya. Dapat olahraganya, dapat suka speed-nya, dan dapat hobi utak-atik komponennya.
Saya suka bercanda ke teman-teman. Kalau saya tidak cedera lutut, mungkin tidak akan pernah ada event Bromo KOM... Atau merek sepeda Wdnsdy... Juga Mainsepeda...

***
Hobi sepeda menjaga massa otot kaki saya. Tapi, makin lama lutut kanan ini makin menyiksa. Waktu awal pandemi, ketika beberapa pekan tidak keluar kompleks, saya mencoba jogging halus. Kesalahan! Lutut saya bendol bengkak, sempat tidak bisa jalan.
Opsi operasi sudah saya sampaikan. Tapi waktu itu masa pandemi, operasi elektif ribetnya luar biasa. Saya tunda lagi. Kata dr Theri, saya aktif terus gowes saja untuk menjaga otot. Nanti ototnya menjaga lutut.
Tahun 2025 ini adalah ujung kesabaran saya tentang lutut ini. Hasil x-ray terakhir, sisi dalam lutut kanan sudah OA (osteoarthritis) grade 3-4.
Setelah 20 tahun mentoleransi, saya merasa lutut kanan ini sudah harus diganti. Saya harus bisa move on. Ini sudah mengganggu kualitas hidup. Naik turun tangga makin sakit. Capek harus rutin maintenance, baik itu penguatan maupun fisioterapi. Bukan hanya itu, performa bersepeda juga mulai terganggu.
Syukurlah, walau dengan lutut bermasalah, tahun ini segala target saya di dunia sepeda tercapai. Agustus lalu, saya berhasil menuntaskan event ultra cycling terberat di Indonesia: Bentang Jawa. Gowes 1.500 km dari Pantai Carita, Banten, hingga Banyuwangi. Tuntas dalam lima hari (baca: Bentang Jawa Lunas).
Tiga bulan sebelum Bentang Jawa, saya ikut program penguatan kaki. Supaya bisa finish. Setelah Bentang Jawa, kondisi kaki saya sedang bagus-bagusnya secara otot. Ideal untuk persiapan operasi.

AZA dan Joko Sumalis usai finis Bentang Jawa 2025.
Saya juga mendapat inspirasi semangat dari Martin Bem, seorang pengusaha asal Austria yang datang ke Surabaya untuk sebuah pertemuan entrepreneur internasional. Martin telah menjalani operasi ganti lutut pada kedua kakinya. Dan setelah operasi, dia justru jadi makin kuat. Bahkan bisa finis Ironman! Tidak main-main itu. Renang 3,8 km, sepeda 180 km, dan lari full marathon!
"Mumpung kamu kuat, jalani saja operasinya. Kualitas hidup akan berubah jauh", begitu ucapnya.

Bersama Martin Bem.
Yang membuat saya sempat khawatir, adalah ketika saya harus pergi ke Amerika mengantar anak saya lomba --debat, menulis, dan akademis-- sekaligus lihat-lihat sekolah selama hampir tiga minggu.
Di sana tidak bisa bersepeda, harus banyak jalan kaki. Bahkan bisa 20 ribuan langkah sehari. Tapi ternyata, kaki saya tidak bermasalah. Hanya agak sakit kalau naik turun tangga, tapi tidak sampai kesakitan seperti sebelumnya. Kaki saya memang sedang kuat-kuatnya. Saya makin semangat segera operasi.
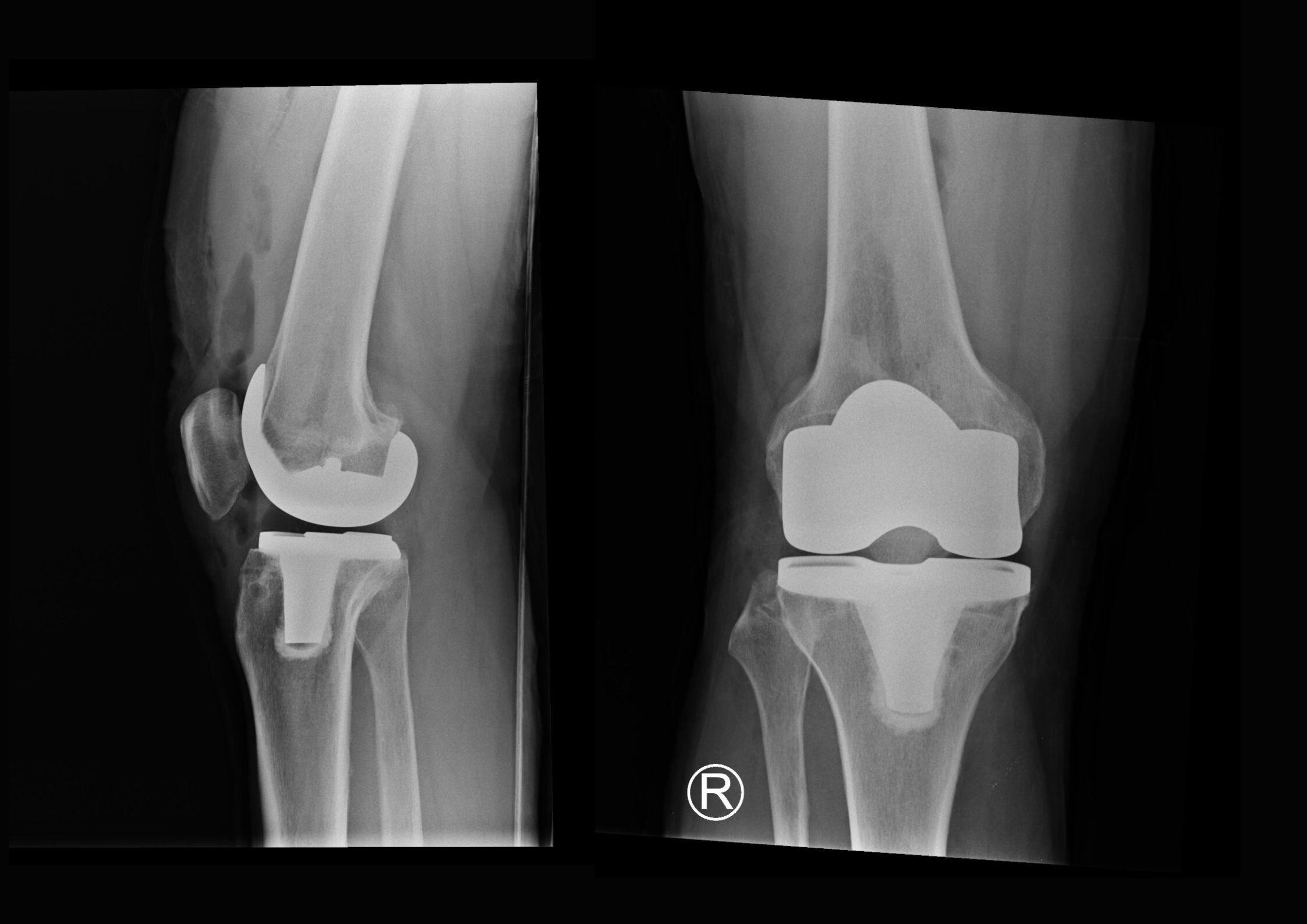
Setelah ketemu dr Theri, dan diskusi, diputuskan operasi 12 Desember. Theri juga sudah memilih merek dan tipe implant pada lutut saya nanti. Buatan Amerika. Saya tidak khawatir kalau usia implant itu hanya 25 tahun. Saya percaya, kelak akan ada teknologi yang lebih maju lagi!

Lutut kanan baru dengan implan dari Amerika.
Karena panjang umur implant itulah Theri sebenarnya sempat menawarkan untuk menunda operasi ini. Karena dia mengganggap saya masih terlalu muda (belum 50 tahun). Tapi hati saya sudah mantap. Saya harus operasi. Dan saya percaya seratus persen pada Theri.
Saya sudah kenal dia lebih dari sepuluh tahun. Sama-sama cyclist, dan saya tahu dia tipe petarung tak mau kalah. Dia bonek nyel!
Dia juga pernah mengoperasi bahu saya beberapa kali ketika kecelakaan sepeda. He he he...

AZA saat bersepeda bersama Theri.
Saya bilang saja ke dia: "Aku akan jadi rekor pasien TKR termudamu..."
Berapa lama pemulihan? Theri dan saya lantas ngobrol tentang Koh Hai (Go Suhartono), "pusaka" pesepeda Surabaya yang kini berusia 75 tahun. Koh Hai operasi ganti lutut dua tahun lalu. Hanya dalam enam pekan, dia sudah gowes keluar. Bahkan sudah menanjak.
Itu jadi target saya.
***
Alhamdulillah, operasi lancar. Kamis sore masuk RS Orthopedi Surabaya untuk persiapan, Jumat pagi jam 6 mulai menjalani prosedur sekitar empat jam. Saya masuk ruang operasi sangat semangat. Sangat tidak sabar segera punya lutut baru.
Sabtu pagi sekitar jam 09.00, sekitar 24 jam setelah operasi, saya sudah belajar jalan menggunakan walker empat kaki. Sabtu siangnya, saya sudah belajar jalan pakai dua kruk.
Minggunya, saya sudah belajar jalan pakai satu kruk. Latihan gerakan juga dilakukan, walau masih ada batasan-batasan.

Senin sebelum tengah hari, hanya tiga hari setelah operasi, saya sudah pulang ke rumah. Tinggal melakukan program pemulihan dan penguatan. Tentu juga melatih lagi gerakan-gerakan besar. Saya tak sabar segera bisa melipat lutut saya ke belakang lagi. Sudah lebih dari sepuluh tahun tidak bisa begitu!
Menurut Theri, saat lutut saya dibongkar, kondisinya memang parah. Istilahnya "rusak", bahkan "hancur". Meniscus alias bantalan sudah nyaris tidak ada, ACL juga praktis tidak berguna. Tulang-tulang rawan sudah banyak rusak, tulang-tulang muda bertumbuhan tidak aturan mengganggu di mana-mana. Khususnya di belakang lutut, membatasi gerakan menekuk ke belakang.
Jadi memang sudah harus diganti. Kata Theri, implant saya size-nya paling besar. Karena tulang lutut saya besar. "Seharusnya sudah perfect", tegasnya.

Theri dan AZA.
Sekarang, tinggal bagaimana saya membulatkan tekat untuk memaksimalkan kemampuan lutut baru saya ini. Harus rajin program fisioterapi, harus tahan sakit latihan untuk bisa melakukan lagi hal-hal yang sudah begitu lama tidak bisa saya lakukan: Berlari, bahkan main bola dan main basket.
Bicara soal sakit, operasinya tidak sakit. Kan dibius. Ketika latihan jalan, ketika kali pertama menapak, memang ada rasa sakit. Tapi itu kan sakit luka bekas operasi. Masih lebih "enak" daripada sakit menusuk yang saya rasakan bertahun-tahun sebelum operasi.
Semua sakit itu masih bisa saya nikmati. Karena saya tahu ke depannya akan baik-baik saja.
Jujur, satu-satunya yang "sakit tidak enak" setelah operasi adalah ketika harus melepas kateter... Aduhhhh rasanyaaa...(Azrul Ananda)
CATATAN TAMBAHAN: Bagi yang mengikuti tulisan Dahlan Iskan di Disway, Anda mungkin sudah membaca kalau ibu saya juga menjalani operasi ganti lutut (kiri) bersamaan dengan saya (baca: Otot Kuat. Sebuah pengalaman keluarga yang sulit ada tandingannya!

